Коли точність має значння.

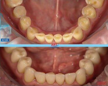
Тотальне естетичне протезування ніжньої щелепи коронками з кераміки E-max

📞