Відбілювання зубів
Відбілювання зубів у Запоріжжі- поверніть природну білизну вашій усмішці.
Мрієте про білосніжну усмішку як у голлівудських зірок? У АРТ Стоматології ми втілюємо ці мрії в реальність.
Сучасне безпечне та ефектиіне відбілювання зубів- це не просто естетика, це впевненістьу собі кожного дня.
Ми працюємо з професійними системами відбілювання, які забезпечують видимий результат вже після першого візиту.
Ваша усмішка стане світлішою без шкоди для емалі та без чутливості.
👏Переваги відбілювання у АРТ Стоматології:
✔ тільки міжнародні сертифіковані системи відбілювання,
✔ без болю, без пошкодження емалі,
✔ безпечне відбілювання навіть для чутливих зубів,
✔ комплексний підхід: гігієна+ відбілювання+ захист емалі,
✔ досвічені лікарі,
✔ стійкий та довготривалий ефект.
01
ГІГІЄНІЧНЕ ЧИЩЕННЯ ЗУБІВ
Перед відбілюванням необхідно виконати професійне гігієнічне чищення зубів з метою видалення нальоту на зубах та визначення справжнього кольору ваших зубів.
02
ЗАМІНА ЗА НЕОБХІДНОСТІ ЗАСТАРІДИХ ПЛОМБ ТА РЕСТАВРАЦІЇ
Найчастіше потрібна заміна пломб встановлених давно, тому що з часом деякі пломби можуть не відображати справжній відтінок ваших зубів і збереження призведе до недостатнього естетичного ефекту відбілювання.У крайніх випадках за наявності великих реставрацій маніпуляція відбілювання пацієнту може бути не показана і місце її рекомендовано ортопедичне виправлення кольору зубів (наприклад за допомогою вінірів).
03
ВИЗНАЧЕННЯ КОЛЬОРУ ЗУБІВ
За допомогою спеціальної палітри лікар може визначити майбутній відтінок зубів.
04
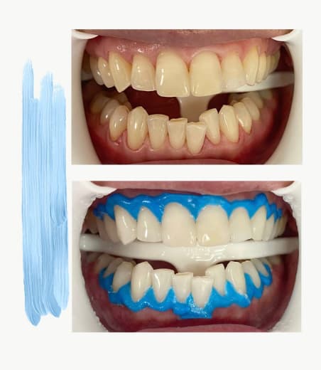
ЗАХИСТ
Нанесення спеціального гелю на ясна з метою захистить їх від потрапляння відбілюючої речовини. А також використання темних окулярів, ретрактора та бальзаму для губ з метою захисту губ та очей від дратівливих факторів.
05
НАНЕСЕННЯ ВІДБІЛЮЮЧОГО ГЕЛЮ
Пацієнту на зубки після попереднього захисту ясен наноситься гель, що відбілює.
06
АКТИВАЦІЯ
За допомогою LED- лампи відбілюючий гель на зубах засвічується і тим самим активується – внаслідок чого відбувається процес відбілювання. У деяких випадках процедуру відбілювання необхідно проводити кілька разів.
07
ЗМЕНЩЕННЯ ЧУТЛИВОСТІ
Після проведення відбілювання найчастіше у тій чи іншій мірі у пацієнтів спостерігається підвищена чутливість зубів. Щоб зменшити це явище, зуби після процедури відбілювання покриваються захисним фтор-лаком.
Коли варто звернутись за відбілюванням?
📌 після зняття брекетів чи лікування (вініри,коронки),
📌 перед важливою подією (весілля, фотосесія),
📌 якшо зуби мають жовтуватій або сірий відтінок,
📌 якщо хочете підкреслити свою молодість та доглянутість усмішки.
Записуйтесь просто зараз і вже за одну процедуру побачете нову версію себе– з білосніжною усмішкою та оновленою впевненістю.
🚩 Запоріжжя , клініка АРТ Стоматологія- турбота, краса, результат.
У випадку якщо у вас залишились питання
Залиште свої контактні данні і наш адміністратор зателефонує протягом 20 хвилин
Детальніше
Відбілювання зубів у Запоріжжі- безпечна процедура для сяючої усмішки.
Сучасні методики відбілювання: лазерне, фото та хімічне
Етапи процедури в АРТ Стоматологія- від консультації до результату
Кому підходить професійне відбілювання зубів та протипоказання
Переваги професійного відбілювання перед домашнім
Догляд після процедури: як зберегти білизну надовго
Ціни та гарантії на відбілювання
Відгуки пацієнтів і фото результатів “до/після”
Наскільки безпечне відбілювання для емалі?
Скільки триває процедура та результат?
Чи болісне відбілювання зубів?