Професійна чистка зубів у Запоріжжі
Професійна чистка зубів – свіже діхання та сяюча посмішка за один візит
У АРТ Стоматології ми переконані, що здоров’я зубів починається з чистоти.
Професійна чистка – це не просто гігієнічна процедура, це майже повноцінна профілактика карієсу, парадонтиту та неприємного запаху з рота.
Саме тому ми прропонуємо ефективну багаторівненву чистку зубів з використанням сучасних методик та технологій.
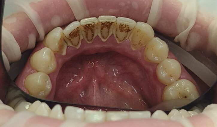
🛠 Як проходить професійна чистка в АРТ Стоматології:
📌 ультразвукове видалення зубного каменю.
📌 аir-flow – м’яке очищення нальоту від кави, чаю та тютюну.
📌 полірування емалі та ремінелізація.
📌індивідуальні рекомендації щодо догляду за зубами вдома.
👌 Переваги професійної гігієни в АРТ Стоматології:
✔ сучасне обладнання
✔ безболісна процедура
✔ турботлививий підхід і комфорт під час візиту
✔ результат помітний одразу- бідіша посмішк, свіже дихання
✔ індивідуальні рекомендації
Для кого підходить:
📌 для дорослих будь якого віку.
📌 перед стоматологічними процедурами( імплантація, відбілювання,протезування).
📌 для пацієнтів з ортодонтичними конструкціями( брекети).
📌 для всіх хто цінує профілактику понад лікування.
👉 Записуйтесь прямо зараз– один візит до АРТ Стоматології і ваши зуби дихають свіжістю.
Кліника АРТ Стоматологія- турбота, професіоналізм, результат.
