Експрес імплантація Запоріжжя
Єкспрес імпантація зубів – це нова посмішка без очікувань.
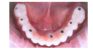
Завдяки сучасним цифровим технологіям у нашій кліниці ви можите встановити імплантат та отримати тимчасову коронку майже в день процедури імплантації.
🔎 Як це працює?
☞робимо внутрішньоротові сани
☞робімо за спеціальною методою томограмму
☞з’єднуємо їх та плануємо майбутьню операцію віртуально
☞ робимо хірургічний шаблон
☞ оперуємо і ви з зубами
Переваги єкспрес імплантації:
✅ посмішка майже в день операції.
✅ мінімальна травматічність
✅ максімальна прогнозованість
✅ ціфрова точність- максимум безпеки
✅ мінімум візитів до лікаря.
Запишісь на консультацію та зроби перший крок до новой посмішки вже сьогодні
01
ОБСТЕЖЕННЯ
Під час стоматологічного обстеження лікар оцінює стан порожнини рота, зубних рядів, слизової оболонки, прикусу, проводить рентгенологічне дослідження, визначає можливість імплантації та її конкретний вигляд. Крім того, при необхідності, наприклад, у тих випадках, коли є хронічні захворювання, які потребують контролю, або пацієнт приймає певні препарати, проводиться низка досліджень, які допомагають оцінити загальний стан організму. Для цього виконуються аналізи крові та сечі, ЕКГ, а також консультація терапевта чи сімейного лікаря.
02
ВІРТУАЛЬНА ОПЕРАЦІЯ
Виконує операцію на віртуальній моделі з оцінкою будови та товщини кістки, а також можливості встановлення імплантату. Імпланти підбираються індивідуально для кожного пацієнта, залежно від клінічної ситуації та завдання.
03
ВИГОТОВЛЕННЯ ХІРУРГІЧНОГО ШАБЛОНУ
Пацієнту в програмі для комп'ютерного планування виготовляється шаблон, за яким і буде проведена імплантація.
04
ВСТАНОВЛЕННЯ ІМПЛАНТУ.
Абсолютно безболісно встановлюється імплантат у правильну позицію завдяки сучасним апаратам сканування 3 Д діагностики з подальшим виготовленням шаблону для імплангтації.
05
ВСТАНОВЛЕННЯ ТИМЧАСОВОЇ КОРОНКИ.
Встановлення коронки для створення правильного контуру м'яких тканин (ясна).
06
ПРОТЕЗУВАННЯ – ВСТАНОВЛЕННЯ КОРОНКИ.
Підбирається оптимальний матеріал, форма та розмір коронки, після чого вона встановлюється на абатмент та процес завершений.
Експрес-процедура – найбільш складний вид імплантації, який вимагає чималого досвіду стоматолога та ретельної підготовки ротової порожнини пацієнта. За рахунок того, що процес сильно стиснутий за часом, важливо переконатися, що зубощелепний апарат витримає навантаження. Для цього перед процедурою пацієнту необхідно пройти рентгенографічне дослідження, ретельне чищення ротової порожнини та інше.
Суть даної методики полягає в тому, що одночасно можливе видалення зубів з постановкою імплантатів плюс, якщо в цьому є необхідність, відразу ж проводиться кісткова пластика і пластика м’яких тканин навколо імплантатів і в найкоротші терміни виготовляються тимчасові зуби.
📍 АРТ СТОМАТОЛОГІЯ – НАДІЙНІСТЬ ПЕРЕВІРЕНА РОКАМИ
У випадку якщо у вас залишились питання
Залиште свої контактні данні і наш адміністратор зателефонує протягом 20 хвилин
Детальніше
Експрес імпланація зубів в Запоріжжі – нова посмішка за 1 день
Що таке експрес-імплантація- суть та переваги
Технологія “зуби за один день”- як це працює
Етапи швидкого встановлення імплантатів у АРТ Стоматології
Кому підходить екмпресс-імплантація, а кому краще класична методика
Ціни, гарантії та консультація спеціаліста
Відгуки пацієнтів
Чи можливо встановити імплантат одразу після видалення зуба
Скільки триває реабілітація після експрес-імплантації
Чим відрізняється від від одноєтапової та класичної імплантації