Протезування зубів Запоріжжя

Спеціалісти кліники АРТ Стоматологія  завдяки багаторічному досвіду допоможуть  Вам обрати найкращий варіант, залежно від кліничної ситуації, бюджету та естетичних побажань.

🗓️ Запишись на консультацію вже сьогодні- та зроби перший крок до здорової, красивої посмішки.

 

 

 

01
РЕНТГЕН
Дозволяє лікарю визначити майбутню реабілітацію пацієнта із застосуванням коронок: визначити їх форму, кількість та розташування
02
ВИЗНАЧЕННЯ ПРИКУСУ
За допомогою артикулятора зубів на етапі діагностики лікар разом із зубним техніком створює біологічно правильне положення та форму зубів.
03
ОБРОБКА ЗУБА
Стоматолог готує зуб до накриття його коронкою: очищає його від каріозних поразок, за необхідності формує уступ і змінює геометрію коронкової частини зуба за допомогою препарування останнього.
04
ЗНЯТТЯ ВІДБІТКІВ
За допомогою відбиткових матеріалів лікар знімає відбиток з препарованих зубів і віддає його в зубо-технічну лабораторію, де технік починає виготовляти необхідні коронки відштовхуючись від інформації отриманої з відбитків лікаря-ортопеда.
05
ЛАБОРАТОРНИЙ ЕТАП
У лабораторії технік виготовляє необхідну коронку, будь то стандартна металокерамічна коронка, яка вимагає виготовлення металевого каркасу з подальшим нанесенням на нього емалі із запіканням її в спеціальних печах до досягнення необхідної якості, або безметалові коронки з діоксиду цирконію або пресованої керами.
06
ФІКСАЦІЯ КОРОНКИ
За допомогою спеціальних цементів лікар надійно фіксує коронку на зубі, досягаючи необхідної функції та естетики, а також захищаючи зуб від подальших руйнувань.

Чому обирають саме АРТ Стоматологію?

✅ Багаторічний досвід

✅ Цифрова диагностика та стоматолгія

✅ Сучасні матеріали від провідних. світових брендів

✅ Безболісне лікування на всіх етапах.

 

Детальніше

Протезування зубів у Запоріжжі- відновлення форми, функції та естетики

Чому важливо не відкладати протезування?

Види протезування:металокераміка, цирконії та E-max

Протезування на імплантатах, вініри та бюгельні знімні конструкції

Як ми працюємо: диагностика, підготовка, виготовлення, фіксація

Цифрове планування та точність кожного етапу

Переваги роботи в АРТ Стоматології

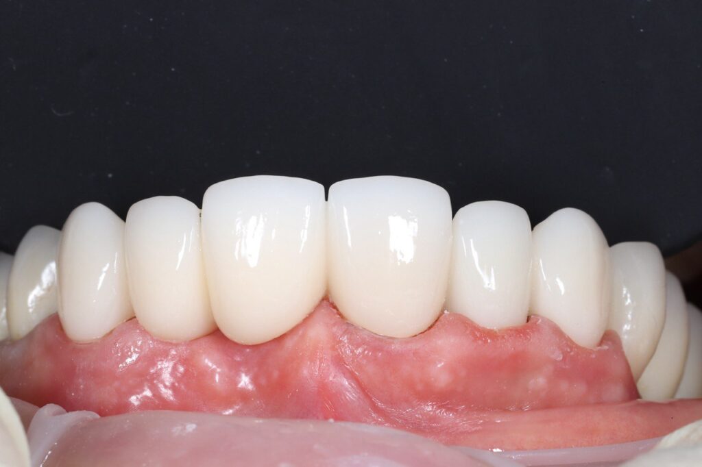
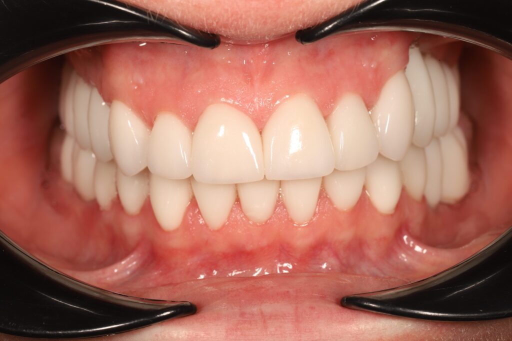
Фото “До” та “після”

відгуки

як записатися?

Металокерамічні коронки – міцність та досвід

Безметалеві рішення- естетика та біосумісність

Протезування на імплантатах- надіїність з гарантією

Крок за кроком: як відбувається протезування