Імплантація зубів All on 4 & All on 6 Запоріжжя
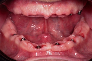
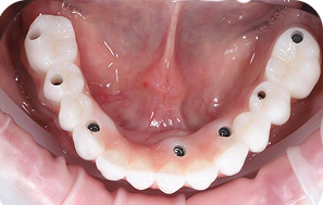
Для комплексного лікування повної адентії (відсутності зубів) використовують метод All-on-4 – вживлення 4 імплантів, на які фіксується незнімна конструкція, яка замінює всю щелепу в деяких випадках використовують ще додатково два імплантати для кращої стабільності подальшої конструкції і тоді така методика називається All-on-6-вживлення 6 імплантатів.
Це технологія яка дозволяє закріпити повній зубний ряд зубів всього на 4 або на 6 імплантатах аледуже часто з вікористанням титанової “шинуючої” фрезированої балки , і чим меньша кількість встановлених імплантатів при тотальнії реабілітації, тім вирогідність шинування імплантатів за рахунок балки вище. тому ця методика має свої плюси та мінуси та свої покази та протипокази.
Переваги імпланатції all-on-4 / all-on-6
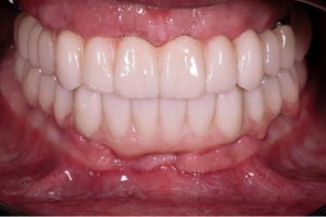
✅ встановлення тимчасових коронок зубів в день чи майже в день операції.
✅ мінімальна кількість імплантатів – максимум стабільності.
✅ не потрібна кісткова пластика у більшості випадків.
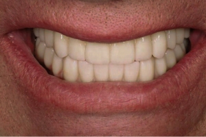
✅ приємний пріродний виглядмзубів, але при різних протоколах є питання “рожевої естетики”.
✅ швидкий та довготривалий результат.
Чому обирають саме нас?
☞ сучасна цифрова диагностика та 3D планування
☞ досвід наших хірургів більше ніж 20 років.
☞ індувідуальні плани лікування.
☞ безболісні процедури з анестезією чи седацією.
АРТ Стоматологія – сучасна імплантація зубів для кожного.
📍 Місто Запоріжжя, Перемоги 80. Швидко, надійно, ефективно
