МЕТАЛОКЕРАМІЧНІ КОРОНКИ ЗАПОРІЖЖЯ
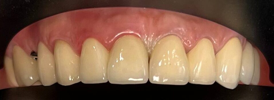
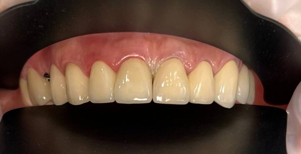
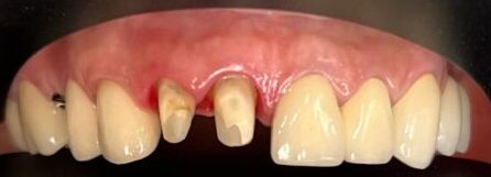
Металокерамічна коронка-це перевірене рішення для надійного відновлення зуба або протезування на імплантаті, коли необеобхідно повернути йому функцію та естетику.
Завдяки внутрішньому металевому каркасу та зовнішньому мкерамічному покриттю,вона забезпечує міцність, довговічність.
Але недостатньо герметику та естетику про це треба пом’ятати при виборі.
Металокераміка ідеально підходить для жувальних зубів, де важлива витривалість
Або як доступне рішення на імплантатах
Без додакових балочних конструкцій які необхідні при протезуванні на диоксиді цирконію.
Наші пацієнти отримують :
✅ комфорт
✅ гормонійну усмішку
✅ спокій за результат на роки ” не за всі кошти світу”.
⚠️ Ваша усмішка заслуговує на міцну опору!
📍 Запишіться на консультацію до АРТ Стоматології – і ми підберемо найкраще рішення саме для вас.
АРТ Стоматологія– стоматологія з двадцятирічною історію у самому центрі ЗАпоріжжя. Надійна опора ваших зубів перевірена роками.
