Бюгельне протезування Запоріжжя
Шукаєте надійний варіант протезування, але не готові до імплантатів?
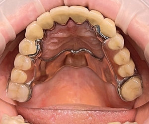
Бюгельні протези- сучасне знімне рішення, що вирізняєтья комфортом, компактністю, та естетикою.
🔎 Переваги:
✅ зручні у використанні.
✅ “не натирають” та не перекривають піднебіння.
✅ можуть фіксуватися на кламерах або на замках
✅ забезпечують хорошу жувальну функцію.
В АРТ стоматології ми створюємо індивідуальні бюгельні протези – жодного діскомфорту чи стороннього предмета у роті.
Наші пацієнти кажуть:”Я забуваю, що протез взагалі є”.
📍 Запоріжжя, Перемоги 80. Надійність та естетика досупні кожному
01
ОГЛЯД ТА РЕНТГЕН
Дозволяє лікареві визначити майбутню реабілітацію пацієнта. Оцінити стан опорних зубів та вибрати майбутню конструкцію бюгельного протеза.
02
ВИЗНАЧЕННЯ ПРИКУСУ
На етапі діагностики лікар разом із зубним техніком визначає правильне співвідношення верхньої та нижньої щелепи. Це необхідно для подальшої правильної фіксації бюгельного протеза та його довговічності.
03
ПІДГОТОВКА ОПОРНИХ ЗУБІВ
Спеціальними борами готують опорні, або за погодженням з пацієнтом всі зуби, що залишилися в порожнині рота, до покриття коронками. На цьому етапі можливо необхідно депульпувати частину зубів. для цього залучають лікаря-терапевта.
04
ЗНЯТТЯ ВІДБІТКІВ
Використовуючи різні сучасні матеріали, лікар знімає відбиток ротової порожнини і зубів і передає його в зуботехнічну лабораторію. Відбувається надточне виготовлення бюгельного протезу.
05
ФІКСАЦІЯ ПРОТЕЗУ
На цьому етапі лікар фіксує отриманий з лабораторії готовий бюгельний протез та коронки в ротовій порожнині пацієнта.
Прийди на консультацію до АРТ Стоматології – покажемо, як зімні протези можуть бути зручними та непомітними.
У випадку якщо у вас залишились питання
Залиште свої контактні данні і наш адміністратор зателефонує протягом 20 хвилин
Заповніть форму
і наш адміністратор зв'яжеться з вами
Детальніше
