Турбота про ясна
🍀 Здоровий фундамент вашої посмішки.
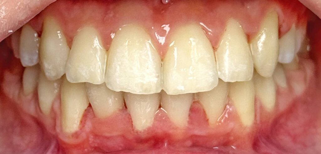
Гарні зуби починаються зі здорових ясен. У АРТ Стоматології ми приділяємо особливу увагу комплексній турботі про ясна, адже саме вони є фундаментом здоров’я усієї ротовой порожнини.
Парадонтит, кровоточивість, неприємний запах, рухомі зуби- усе це можна і потрібно лікувати.
І головне – не запускати.
Ми пропнуємо сучасну диагностику, глибокі знаннч парадонтології та індивідуальний підхід, щоб зберегти ваші ясна міцними, здоровимі та без запалення.
‼️ Не відкладайте – ясна не болять поки вже не піздно‼️
✍️Запишиться на огляд, і ми покажемо вам як легко та комфортно підтримувати здоров’я ясен на довгі роки.
📍Запоріжжя, АРТ Стоматологія– клініка, де піклуються не лише про зуби, ай про те що їх тримає.
У випадку якщо у вас залишились питання
Залиште свої контактні данні і наш адміністратор зателефонує протягом 20 хвилин
Заповніть форму
і наш адміністратор зв'яжеться з вами
Детальніше
