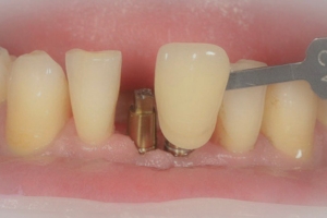
Однокомпонентна імплантація
Однокомпонентна імпланатція зубів- доступно, швідко, надійно. Це альтернатива колі вам не потрібна “голівудська посмішка”.
Це доступна посмішка без трівалого лікування. В нашій кліниці використовуються сучасні однокомпонентні імплантат які мі встановлюємо навіть за одін візит- без трівалого загоєння, без складніх операції та без болю.
Чому обірають саме нас?
☞ встановлення імплантату за 1 візит.
☞ без надрізів та швів.
☞ммінімальна травматічність
☞ підходить навіть при атрофії кістки
☞ результат – одразу після процедури.
Кму підійде однокомпонентна імплантація?
✅ тим хто хоче швідк та бюджетно оновити зуби.
✅ пацієнтам з обмеженим часом.
✅ людям із віковими особливостями.
✅ коли немає можливості провести класичну імплантацію розбірними імплантатами.
Запишись на консультацію до лікаря вже сьогодні та дізнайся чи подходіть тобі така імплантація.
