Імплантація монолітними імплантатами

💎 Чому обирають саме нас?

🔹 ми єдині хто має такий великий досвід та досягнення в цьому виді імплантації.

🔹 20 років досвіду вцілому в імплантації, ортопедії

🔹доступність імпплантації для всіх

🔹швидкість , надійність та впевненість у результаті перевірена роками.

Переваги монолітної імплантації:

✔️ меньше втручання-меньше болю та ускладнень

✔️ шидке відновлення

✔️ немає необхідності в додаткових маніпуляціях

✔️ в багатьох ввипадках без розрізів та швів

✔️ надійно, доступно

 

01
ОБСТЕЖЕННЯ
Під час стоматологічного обстеження лікар оцінює стан порожнини рота, зубних рядів, слизової оболонки, прикусу, проводить рентгенологічне дослідження, визначає можливість імплантації та її конкретний вигляд. Крім того, при необхідності, наприклад, у тих випадках, коли є хронічні захворювання, які потребують контролю, або пацієнт приймає певні препарати, проводиться низка досліджень, які допомагають оцінити загальний стан організму. Для цього виконуються аналізи крові та сечі, ЕКГ, а також консультація терапевта чи сімейного лікаря.
02
ВСТАНОВЛЕННЯ ІМПЛАНТУ
Абсолютно безболісно встановлюються імплантати у правильну позицію завдяки сучасним апаратам сканування 3Д діагностики. При необхідності додатково проводяться процедури з нарощування кістки та робота зі слизовою оболонкою навколо імплантатів.
03
ВСТАНОВЛЕННЯ ТИМЧАСОВИХ КОРОНОК
Найчастіше тимчасові коронки можна встановити найближчими днями після проведеної імплантації.
04
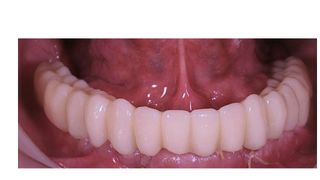
ПРОТЕЗУВАННЯ – ВСТАНОВЛЕННЯ КОРОНОК
Після завершення процесу приживлення імплантатів (остеоінтеграції), яка може займати від 2-4 місяців.

🟢 Поверніть собі усмішку без болю та очікувань.

Ми знаємо як важливо жити повноцінно, не чікаючи пів року на кожен етап. Саме тому звертаються до нас: швидко, естетично, комфортно, доступно.

📍 АРТ Стоматологія міста Запоріжжя. Дентальна імплантація у самому серці Запоріжжя  у якій ми № 1

Детальніше

Монолітна імплантація зубів у Запоріжжі- без швів та довгих очикувань. максимальна міцність та надійність.

Що таке монолітні імплантати та в чому їх переваги

Технологія встановлення монолітних імплантатів- крок за кроком

Чому АРТ Стоматологія лідер в монолітної імплантації у Запоріжжі

Показання та протипокази до встановлення монолітного імплантату

Порівняння: монолітні імплантати проти класичних систем

Ціни та результати

Відгуки пацієнтів про монолітну імплантацію

Скільки триває приживлення монолітного імплантата?

Чи потрібна кісткова пластика перед процедурою

Як доглядати за монолітними імплантатми після встановлення?

Які переваги в монолітної імплантації зубів?